Die Prothetik ist ein zentraler Bereich der modernen Zahnmedizin. Sie umfasst die Versorgung mit Zahnersatz bei fehlenden oder stark geschädigten Zähnen mithilfe von:
Eine prothetische Behandlung verbessert die Kaufunktion, sowie auch Ihr ästhetisches Erscheinungsbild, und damit Ihre Lebensqualität.
Ob einzelne Zahnlücke, größere Zahndefekte oder ein vollständiger Zahnersatz: wir legen größten Wert auf Präzision, hochwertige Materialien und eine natürliche Optik.
In unserer Praxis in Langen legen wir großen Wert auf hochwertigen Zahnersatz.
Unser Anspruch:
Perfekter Sitz und natürliche Ästhetik – individuell für Sie gefertigt
Kronen und Brücken:
beeinträchtigen weder Kau- noch Sprechverhalten
sorgen für ein natürliches Mundgefühl
bestehen aus langlebigen, hochwertigen Materialien
fügen sich optisch unauffällig ins Zahnbild ein
Herausnehmbare Prothesen bei größerem Zahnverlust:
Teilprothesen ersetzen einzelne Zahnreihen
Vollprothesen versorgen Ober- oder Unterkiefer (oder beide) vollständig
Unser Fokus: Ihre Lebensqualität, Ihre Bedürfnisse, Ihr Lächeln.
Gerne beraten wir Sie persönlich zu Ihrer passenden prothetischen Versorgung.
Für maximale Entspannung führen wir als Zahnarzt für Angstpatienten prothetische Eingriffe auch im Tiefschlaf durch, sprechen Sie uns einfach dazu an.
Je nach Zahnsituation und individuellen Bedürfnissen stehen verschiedene Formen des Zahnersatzes zur Verfügung – von Kronen und Brücken bis hin zu Prothesen und Implantaten. Im Folgenden erhalten Sie einen Überblick über die wichtigsten Möglichkeiten der modernen Prothetik.
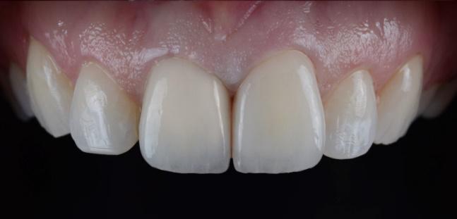
Kronen bestehen meist aus Keramik und stabilisieren stark geschädigte Zähne.
Sie orientieren sich in Form und Farbe am natürlichen Zahn.
Brücken ersetzenfehlende Zähneund werden fest zwischen Zähnen, Kronen oder Implantaten verankert (Implantatbrücke).
So ermöglichen Brücken eine zuverlässige, unauffällige Versorgung, die sowohl funktional als auch ästhetisch überzeugt.


Prothesen kommen bei teilweisem oder vollständigem Zahnverlust zum Einsatz und lassen sich komfortabel herausnehmen.
Unsere Teleskopprothesen bieten:
Das Ergebnis: maximaler Tragekomfort, perfekte Funktion und ein ästhetisches Erscheinungsbild – für ein strahlendes Lächeln.
Implantatgetragener Zahnersatz ersetzt die natürliche Zahnwurzel und dient als stabile Basis für Kronen, Brücken oder Prothesen.
Dieser Zahnersatz bietet Komfort, Stabilität und eine natürliche Optik.
Mehr zur Implantologie erfahren Sie hier.

Eine Teleskopprothese mit Galvano-Technik und Zirkonkäppchen.
Keramik kommt in unserer Zahnarztpraxis in Langen zum Einsatz, wenn ästhetischer Zahnersatz gefragt ist, der in Farbe und Form kaum von natürlichen Zähnen zu unterscheiden ist.
Mit hauchdünnen keramischen Veneers kaschieren wir kleinere und größere Unregelmäßigkeiten an den Zähnen.
Keramische Kronen, Brücken und Inlays sind besonders langlebig und hochwertig – für ein natürlich schönes Lächeln, das viele Jahre erhalten bleibt.
Unser Ziel ist es, Ihnen wieder ein unbeschwertes Lächeln zu schenken, mit Zahnersatz, der nicht nur funktioniert, sondern sich auch ganz natürlich anfühlt.
Profitieren Sie von:
In unserem ZENTRUM Zahn- und Chirurgie in Langen bei Frankfurt a.M. beraten wir Sie gerne individuell und ausführlich.
Entwerfen wir gemeinsam Ihr neues Lächeln, das zu Ihnen passt und das Sie gerne zeigen.
Dank modernen Materialien wie Keramik und Hochleistungskunststoffe sowie digitaler Zahntechnik gewährleisten wir höchste Präzision, eine natürliche Ästhetik und eine lange Haltbarkeit.
Vereinbaren Sie jetzt Ihren Beratungstermin, wir freuen uns auf Sie.
Vollkeramikkronen verfärben sich i. d. R. nicht. Das Material ist widerstandsfähig und farbbeständig, sodass Sie viele Jahre Freude an Ihren Keramikzähnen haben können.
Die Keramik wird mit moderner Adhäsivtechnik befestigt. Dabei wird die Zahnoberfläche leicht angeraut und die Keramik anschließend minimalinvasiv mit einem lichtdurchlässigen Komposit-Kleber verklebt. Das Verfahren ist sehr schonend und sorgt für eine stabile, ästhetisch hochwertige Verbindung.
Die Langlebigkeit hängt von der Art des Zahnersatzes, der Materialqualität und der Mundhygiene ab. Bei guter Pflege können Kronen und Brücken 10 – 20 Jahre halten, Implantate sogar noch länger.
Gesetzliche Krankenkassen übernehmen einen Festzuschuss, dessen Höhe vom Befund abhängt, während private Versicherungen häufig höhere Anteile erstatten. Wir beraten Sie individuell zu den Kosten und erstellen einen Heil- und Kostenplan.