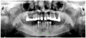
Darstellung eines Röntgenbilds mit einer Kieferzyste mit umliegendem Knochenabbau vor chirurgischer Behandlung