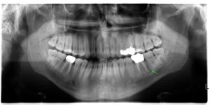
Röntgenbild eines Kiefers mit entzündeter Wurzelspitze vor einer mikrochirurgischen Wurzelspitzenresektion

Röntgenbild eines Kiefers mit entzündeter Wurzelspitze vor einer mikrochirurgischen Wurzelspitzenresektion